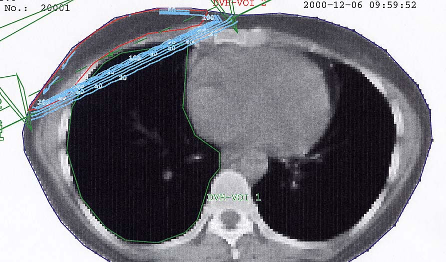
Mammakarzinom: Bestrahlungsplan
Einführung
aktuelle Bilder
- Einführung
Bestrahlungspläne
- Einführung
Demonstration
Zurück
|
Anfang
|
Vor