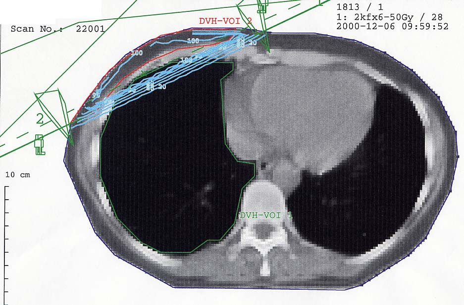
Mammakarzinom: Bestrahlungsplan

Einführung aktuelle Bilder - Einführung Bestrahlungspläne - Einführung Demonstration

Zurück | Anfang | Vor