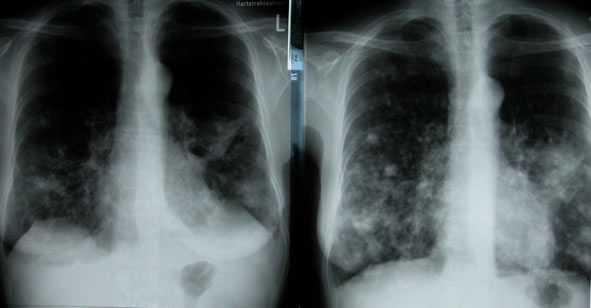
Lungenmetastasen

Einführung aktuelle Bilder - Einführung Demonstration

Zurück | Anfang | Vor